See Explanation
[ "https://i.postimg.cc/mg4zDZrQ/case-213447-image-1-steeple-figure.jpg" ]
Pediatrics
infectious disease
croup
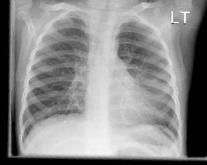
A 2-year-old girl is brought to an urgent care clinic by her guardian due to a harsh, barking cough and noticeable difficulty breathing that started overnight. Her guardian reports she's had a low-grade fever and mild nasal congestion for the past two days. On examination, she presents with inspiratory stridor and is using accessory muscles to breathe, though her oxygen saturation is stable at 94% on room air. A rapid point-of-care chest X-ray is performed, revealing characteristic subglottic narrowing. Considering the clinical presentation and radiographic findings, what is the most likely underlying etiology and the appropriate initial pharmacologic intervention?
| Lab Parameter | Value | Reference Range |
|---|---|---|
| White Blood Cell Count | 10.2 x 10^9/L | 4.0-11.0 x 10^9/L |
| C-Reactive Protein | 8 mg/L | <5 mg/L |
| Sodium | 138 mmol/L | 135-145 mmol/L |
| Potassium | 4.1 mmol/L | 3.5-5.0 mmol/L |

Edit question
